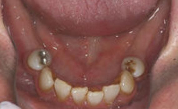
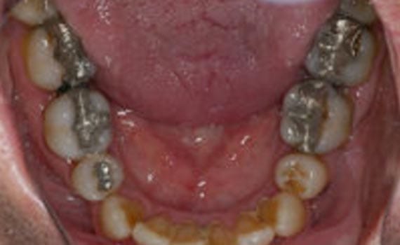
Surgical Templates: Implant Guide Basics 3D Imaging For Treatment Planning & Precise Implant Placement Virtual 3D Treatment Planning Derived CAD/CAM Drilling Guide Jawbone Refortification: Titanium Implants & Titanium Bridge #1 3D Treatment Planning For Full Mouth Teeth Replacement All Teeth Lost to Disease & Normal Wear & Tear Implant Placements In Healthiest Bone Creates Strongest Bite Jawbone Refortification: Titanium Implants & Titanium Bridge #2 Embedded Titanium Implant Frame For Severe Bone Loss Bone Too Thin For Implants Embeddable Implant Frame X-Ray Confirmation Of Embedded Frame Snap-On Cosmetic Denture Single Implant Molar Tooth Replacement Best Solution For Long Term Endurance (avoiding bridgework) Adding Bone for Simple One Tooth Replacement Avoiding Invasiveness of 3 Unit Bridge (no anchor teeth grinding) Before After Popular Choice for Molar Tooth Replacement Expected Extreme Bite Pressure Maintains Optimal Bone Health Avoiding Bone Loss That Commonly Occurs Under A 3 Unit Bridge Before After Molar Teeth Replacement via Guided Implant Surgery CT Scan Based Diagnostics Assures Rock Solid Placement – Balance Excessive Decay & Gum Disease Total Diseased Tissue Removal Surgical Guide Alignment New Molar Bite Health Tooth “Creation” for Congenitally Missing Canines Baby Teeth – Yes | Adult Secondaries – No Special Tissue Punch Eliminates Need For Gum Surgery Minimal Need For Grafting Products Precision Implant Alignment Check Final Abutment Prep Perfect Match For Mother Nature 3 Unit Bridge With Implant Anchors => Maximum Bite Strength Avoiding Failures Caused by Modifying Adjacent Teeth for Anchoring Maintain Bone – Adjacent Tooth Health Before After Get Started Today Request Appointment Meet the Doctor Watch Our Video